Drug candidate takes new aim at MERS

Chemical disrupts virus assembly centers

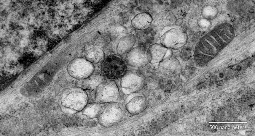
FACTORY SHUTDOWN  After infecting a human cell (shown), coronaviruses hijack membranes from the cell to form their own little viral factories (cluster of pale circles in center of image; dark circle in middle holds new virus particles). A new drug candidate blocks construction of these factories and halts viral growth.

Volker Thiel, Edward Trybala and colleagues

An experimental drug that shuts down construction of virus-making factories could become a new weapon against MERS and similar respiratory diseases. The chemical, called K22, halts growth of a panel of different coronaviruses, including the strains that cause MERS and SARS, researchers report May 29 in PLOS Pathogens.

K22 is the latest in a slew of drug candidates to counter coronaviruses, for which no proven drug treatments currently exist. But K22 stands out from the crowd, says Stanley Perlman, a virologist and pediatric infectious disease physicianat the University of Iowa in Iowa City. 

K22 hits a part of the viral life cycle that no drug candidate has tackled before. “The ideal drug may be something like this,” Perlman says.

Still, moving the chemical from the lab to the clinic could take years of testing and development, says study coauthor Volker Thiel, a virologist at the University of Bern in Switzerland. “We have no idea how the drug will behave in the body.”

And drug companies might not want to spend the money figuring it out, he says — unless there’s a huge outbreak.

In 2012, scientists documented the first case of MERS, or Middle East Respiratory Syndrome, in Saudi Arabia. MERS has since infected more than 500 people and killed at least 145. Like SARS before it, which struck more than 8,000 people in a 2002–2003 outbreak, MERS develops because of infection with a coronavirus. Coronaviruses are RNA-based viruses that look like a halo, or corona, under an electron microscope.

These viruses are famous for sneaking into human cells, stealing bits of membrane and erecting tiny chambers for building new viruses. Within cells, the membrane-wrapped virus mills spring up quickly and cluster together — like a viral tent city.

In the new study, Thiel, Edward Trybala of the University of Gothenburg in Sweden, and colleagues infected human cells growing in plastic dishes with a strain of coronavirus that typically triggers coldlike symptoms in people. The researchers then added each of 16,671 chemical compounds to different dishes and looked for cells that stayed healthy.

One compound, the small molecule K22, cut viral infection in half compared with cells not exposed to the drug candidate. Thiel and colleagues think that K22 stops the virus from forming the saclike workshops inside infected cells.

When the team looked at drug-treated cells under a microscope to find the tiny sacs, “we saw that they were all gone,” says Thiel. “That was exciting for us.”

No workshops means no new viruses, which stops the infection from spreading to other cells.

Thiel and colleagues were about to publish their findings, he says, but then MERS came along. So the researchers tested whether K22 also blocked growth of the MERS coronavirus.

“And it did,” Thiel says. “Then we thought, ‘if it’s inhibiting two coronaviruses, we should test all we have in the freezer.’”

The drug worked against all six of the viruses tested, including the strain that causes SARS as well as viruses that infect cats, birds and mice.

Thiel thinks K22, or similar chemicals that attack the viruses’ workshops, could be a new type of weapon in the arsenal of potential drugs for fighting coronaviruses. Having different kinds of ammunition is important to prevent drug-resistant viruses from popping up. “It’s good to combine drugs and target different steps in the virus’s life cycle,” he says. “It’s the lesson we learned from HIV.” 

Meghan Rosen is a senior writer who reports on the life sciences for Science News. She earned a Ph.D. in biochemistry and molecular biology with an emphasis in biotechnology from the University of California, Davis, and later graduated from the science communication program at UC Santa Cruz.