Current Issue

Vol. 205 No. 4
Download PDF Modal Example Archive Issues Modal Example
« Previous | Next »

Featured Articles in this Issue

Reviews & Previews

Science Visualized

Notebook

Features

More Stories from the February 24, 2024 issue

  1. Health & Medicine

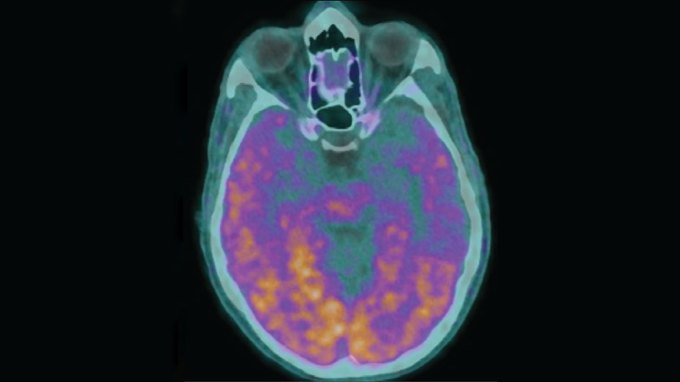
    Under very rare conditions, Alzheimer’s disease may be transmitted

    Alzheimer’s isn’t contagious. But contaminated growth hormone injections caused early-onset Alzheimer’s in some recipients, a new study suggests.

    By
  2. Chemistry

    The smallest known molecular knot is made of just 54 atoms

    Chemists are still trying to figure out why this combination of gold, phosphorus, oxygen and carbon atoms resulted in a molecular knot in the first place.

    By
  3. Plants

    This weird fern is the first known plant that turns its dead leaves into new roots

    Cyathea rojasiana tree ferns seem to thrive in Panama’s Quebrada Chorro forest by turning dead leaves into roots that seek out nutrient-rich soil.

    By
  4. Health & Medicine

    50 years ago, computers helped speed up drug discovery

    In 1974, a computer program helped researchers search for promising cancer drugs. Today, AI is helping speed up drug discovery.

    By
  5. Earth

    Many but not all of the world’s aquifers are losing water

    Many aquifers are quickly disappearing due to climate change and overuse, but some are rising because of improved resource management.

    By
  6. Physics

    A predicted quasicrystal is based on the ‘einstein’ tile known as the hat

    The einstein tile can cover an infinite plane only with a nonrepeating pattern. A material based on it has features of both crystals and quasicrystals.

    By
  7. Physics

    A pivotal quantum theory holds up even in extreme electric fields 

    Quantum electrodynamics, which describes how charged particles and light interact, works in the strong fields around highly ionized uranium atoms.

    By
  8. Planetary Science

    Bacteria that can make humans sick could survive on Mars

    Experiments suggest that common illness-causing microbes could not only survive on the Red Planet but also might be able to thrive.

    By
  9. Ecosystems

    How an invasive ant changed a lion’s dinner menu

    An invasive ant is killing off ants that defend trees from elephants. With less cover, it’s harder for lions to hunt zebras, so they hunt buffalo instead.

    By
  10. Life

    Insects flocking to artificial lights may not know which way is up

    Insects may use light to figure out where the ground is. Artificial lights send them veering off course, data from high-speed infrared cameras suggests.

    By
  11. Archaeology

    A four-holed piece of ivory provides a glimpse into ancient rope-making

    The tool, unearthed in Central Europe, suggests that locals made devices for stringing together sturdy cords over 35,000 years ago, researchers say.

    By
  12. Climate

    Cold, dry snaps accompanied three plagues that struck the Roman Empire

    New climate data for ancient Italy point to temperature and rainfall influences on past infectious disease outbreaks.

    By
  13. Animals

    A bird flu outbreak is sweeping the globe. Its long-term effects are unclear

    A reporter’s recent trip to the Galápagos offered a chance to reflect on the bird flu outbreak, which has killed millions of birds and other animals.

    By