Current Issue

Vol. 194 No. 2
Download PDF Modal Example Archive Issues Modal Example
« Previous | Next »

Reviews & Previews

Science Visualized

Features

More Stories from the July 21, 2018 issue

  1. Health & Medicine

    The number of teens who report having sex is down

    About 40 percent of high school students are having sex, the lowest amount in the last three decades.

    By
  2. Astronomy

    Magnetic fields may be propping up the Pillars of Creation

    Scientists made a map of the magnetic field within the Pillars of Creation, a star-forming area depicted in an iconic Hubble Space Telescope image.

    By
  3. Tech

    With this new system, robots can ‘read’ your mind

    Giving robots instructions via brain waves and hand gestures could help the machines operate more safely and efficiently.

    By
  4. Animals

    How a squishy clam conquers a rock

    Old boring clam research is upended after 82 years.

    By
  5. Life

    Here’s how drinking coffee could protect your heart

    Coffee’s heart-healthy effects rely on boosting cells’ energy production, a study in mice suggests.

    By
  6. Physics

    Einstein’s general relativity reigns supreme, even on a galactic scale

    Scientists have made the most precise test of Einstein’s theory of gravity at great distances.

    By
  7. Life

    It may take a village (of proteins) to turn on genes

    Clusters of proteins transiently work together to turn on genes, new microscopy studies of live cells suggest.

    By
  8. Anthropology

    A 2,200-year-old Chinese tomb held a new gibbon species, now extinct

    Researchers have discovered a new gibbon species in an ancient royal Chinese tomb. It's already extinct.

    By
  9. Health & Medicine

    New studies add evidence to a possible link between Alzheimer’s and herpesvirus

    Researchers saw higher levels of herpesvirus in the brains of Alzheimer’s patients, which may contribute to plaque formation.

    By
  10. Life

    Zika gets the most extreme close-up of any flavivirus

    The closest look yet at Zika virus may reveal some vulnerabilities.

    By
  11. Health & Medicine

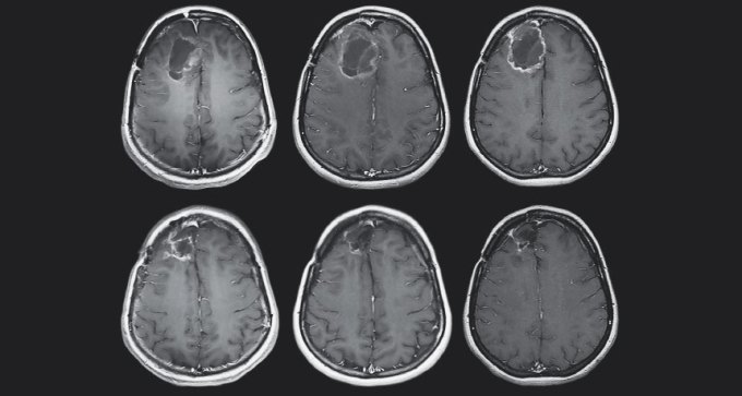
    Poliovirus treatment helped patients with deadly brain tumors live longer

    A genetically modified poliovirus appears to help fight brain cancer, a small, early-stage clinical study suggests.

    By
  12. Planetary Science

    Mars got its crust quickly

    The Martian crust had solidified within 20 million years of the solar system’s formation.

    By
  13. Neuroscience

    A brain chemical tied to narcolepsy may play a role in opioid addiction

    Long-term use of opioids such as heroin is linked to having more brain cells that release a chemical that regulates wakefulness and arousal.

    By
  14. Astronomy

    NASA’s Parker probe is about to get up close and personal with the sun

    The Parker Solar Probe is about to make a historic voyage to touch the sun.

    By
  15. Animals

    Why humans, and Big Macs, depend on bees

    Thor Hanson, the author of Buzz, explains the vital role bees play in our world.

    By
  16. Particle Physics

    50 years ago, neutrinos ghosted scientists

    In the last half-century, neutrino detectors have spotted particles cast out by the sun, supernova 1987A and a supermassive black hole.

    By