Current Issue

Vol. 190 No. 4
Download PDF Modal Example Archive Issues Modal Example
« Previous | Next »

Reviews & Previews

Science Visualized

Notebook

Features

More Stories from the August 20, 2016 issue

  1. Genetics

    Seeing the upside in gene drives’ fatal flaw

    Gene drives’ fatal flaw could be a bonus.

    By
  2. Health & Medicine

    No one-fits-all healthy diet exists

    Mice’s response to diet varies with their genes.

    By
  3. Astronomy

    Kepler tally grows: 104 more exoplanets confirmed

    Kepler space telescope adds another 104 planets to its growing census of worlds in our galaxy.

    By
  4. Genetics

    Swapping analogous genes no problem among species

    Many genes are interchangeable between yeast, bacteria, plants and humans.

    By
  5. Health & Medicine

    Anesthesia steals consciousness in stages

    Brains regions that are synchronized when awake stop communicating as monkeys drift off.

    By
  6. Neuroscience

    New brain map most detailed yet

    By combining different types of data, researchers have drawn a new detailed map of the human brain.

    By
  7. Physics

    Electrons have potential for mutual attraction

    Electrons usually repel each other, but new research shows pairs of electrons can be attracted due to their repulsion from other electrons.

    By
  8. Neuroscience

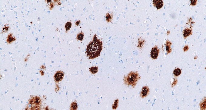
    Antibiotics might fight Alzheimer’s plaques

    A new study found that antibiotics hit Alzheimer’s plaques in the brains of mice.

    By
  9. Anthropology

    Humans, birds communicate to collaborate

    Bird species takes hunter-gatherers to honeybees’ nests when called on.

    By
  10. Genetics

    Evolution of gut bacteria tracks splits in primate species

    Primates and microbes have been splitting in sync for at least 10 million years.

    By
  11. Life

    Yeasts hide in many lichen partnerships

    Yeasts newly discovered in common lichens challenge more than a century of thinking about what defines the lichen symbiosis.

    By
  12. Earth

    How dinosaurs hopped across an ocean

    Land bridges may have once allowed dinosaurs and other animals to travel between North America and Europe around 150 million years ago, a researcher proposes.

    By
  13. Planetary Science

    Jupiter’s Great Red Spot is hot

    High temperatures over Jupiter’s Great Red Spot suggest that storms pump heat into the atmosphere and warm the entire planet.

    By
  14. Genetics

    Dolly the Sheep’s cloned sisters aging gracefully

    Cloning doesn’t cause premature aging in sheep.

    By
  15. Chemistry

    Vaping’s toxic vapors come mainly from e-liquid solvents

    New study homes in on a primary source of toxic vaping compounds: the thermal breakdown of solvents used to dissolve flavorings in e-liquids. And older, dirtier e-cigs generate more of these toxicants, study shows.

    By
  16. Life

    The nose knows how to fight staph

    A bacterium isolated from the nose produces a new antibiotic active against resistant pathogens.

    By
  17. Science & Society

    Sea life stars in museum’s glass menagerie

    See Leopold and Rudolf Blaschkas’ delicate glass jellyfish, anemones, sea worms and other marine invertebrates at the Corning Museum of Glass.

    By
  18. Animals

    These lizards bleed green

    Blood and bones turn naturally green in island lizards. Their evolutionary history still needs explaining.

    By
  19. Astronomy

    Magnetic fields in sun rise at 500 kilometers per hour

    Magnetic fields within the sun rise up no faster than about 500 kilometers per hour, suggesting that the movement of gas is responsible for bringing these fields to the sun’s surface.

    By
  20. Astronomy

    Astronomers prepare for 2017 solar eclipse spectacle

    With one year to go, researchers are making plans for studying both the sun and Earth during the August 2017 total solar eclipse.

    By
  21. Health & Medicine

    Mosquitoes in Florida now spreading Zika virus, health officials warn

    Florida adds 10 new cases of locally acquired Zika infection, prompting the CDC to issue travel warning for pregnant women. Mosquitoes in Miami may be resistant to insecticides.

    By
  22. Animals

    Neonicotinoids are partial contraceptives for male honeybees

    Male honeybees produce less living sperm if raised on pollen tainted with neonicotinoids, tests show.

    By
  23. Paleontology

    T. rex look-alike unearthed in Patagonia

    A new dinosaur species discovered in Patagonia has the runty forearms of a Tyrannosaurus rex, but is not closely related to the gigantic predator.

    By
  24. Science & Society

    Cancer drug came from traditional Chinese medicine

    Researchers looked to traditional Chinese medicine for cancer treatment clues 50 years ago. Today, synthetic versions treat a variety of cancers.

    By