Science News’ favorite books of 2015
The Science News staff offers its must-read picks of 2015.
Every print subscription comes with full digital access
 
			Pluto up close, the power gene editor CRISPR, new early human kin and more make Science News' list of the top 25 science stories of 2015.
 
			
		The Science News staff offers its must-read picks of 2015.
 
			
		The Middle East respiratory syndrome virus, which infected 186 people in South Korea in 2015, quickly spread within and between hospitals via a handful of “superspreaders.”
 
			
		Mechanical engineer and geophysicist Nathalie Vriend explores noises in the desert that are triggered by sand sliding down dunes.
 
Scientists and journalists share a core belief in questioning, observing and verifying to reach the truth. Science News reports on crucial research and discovery across science disciplines. We need your financial support to make it happen – every contribution makes a difference.
 
			
		Long out of reach, Pluto came into focus in 2015 with the New Horizons mission.
 
			
		The gene editing system CRISPR has opened the door to new scientific advancements — and ethical concerns.
 
			
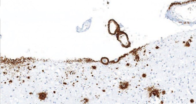
		Alzheimer’s-targeted antibodies make neurons misbehave even more, a study of mice shows.
 
			
		In competition for selenium, testes draw the nutrient away from the brain.
 
			
		Treating both tadpoles and their ponds for infection by deadly Bd chytrid fungus lets midwife toads go wild again.
 
			
		A baby planet is still growing in the disk of gas that encircles a young star.
 
			
		Lab-grown vocal cord tissue could lead the way to better treatments for people with vocal problems
 
			
		Tiny mollusk eyes in chiton armor can pick up rough images.
 
			
		Thinning Arctic sea ice could boost heat-trapping water vapor in the air during autumn and winter, leading to more ice loss.
 
			
		Mars’ moon Phobos will shatter and create a temporary ring around Mars 20 million to 40 million years from now.
 
			
		Earth’s waning magnetic field is returning to its long-term average, not heading toward a catastrophic magnetic reversal, new lava analysis suggests.
 
			
		Researchers have created a gene drive that prevents mosquitoes from carrying malaria.
 
			
		It took more than 50 years, but an experiment testing general relativity has finally come to a close.
 
			
		Stone tools, charred animal bones and fire ash found at the Monte Verde site in Chile indicate people reached South America’s southernmost territory at least 18,500 years ago.
 
			
		From a South African cave to an East African rift valley, fossil and archaeological finds reported in 2015 added new twists to the evolution of the human genus.
 
			
		People grow old at different rates, but the underlying drivers of aging may be the same: molecular havoc wreaked inside of cells, scientists suggested in 2015.
 
			
		New climate research showed that the much-discussed warming hiatus never happened, carbon dioxide levels are higher than ever and Earth is heading toward a new normal.
 
			
		In 2015, several research groups reported the extent to which experimental results don't hold up to replication.
 
			
		NASA's Cassini spacecraft is offering the best evidence yet that Saturn's moon Enceladus could be a great place to search for extraterrestrial life.
 
			
		Microbes discovered in Arctic mud this year could be the closest relatives yet found to the single-celled ancestor that made life so complicated.
 
			
		A new version of an experiment proposed in 1964 confirmed a counterintuitive tenet of quantum mechanics.
 
			
		The Roadmap Epigenomics Project, unveiled in February 2015, is the first in a series of 3-D looks at the human genome.
 
			
		Compelling but not quite confirmed research in 2015 suggested that hydrogen sulfide is a superconductor at temperatures as high as 203 kelvins.
 
			
		Under rare conditions, an Alzheimer’s-related protein may have jumped between people, scientists reported this year.
 
			
		New data from the Mars Reconaissance Orbiter supported the presence of salty water on Mars.
 
			
		Some explosive science offered a glimpse into how tectonic plates slide around Earth’s surface.
 
			
		Researchers looking for mutations linked to cancer have found that not all genetic alterations should be targeted equally.
 
			
		Two particles discovered in 2015 are each composed of five quarks.
 
			
		The discovery of speed cells in the brain filled in a missing piece in the understanding of how the brain creates an internal map of the world.
 
			
		Studies published this year add dodging death, flirting and mothering to the tasks that artificial light can discombobulate in wild animals.
 
			
		Evidence is accumulating that at least one popular alternative to bisphenol A can enter the body and trigger developmental and physiological changes.
 
			
		This year’s dog research suggested older origins and a new location of domestication for man's best friend.
 
			
		Ancient DNA identified 8,500-year-old Kennewick Man as a Native American relative.
 
			
		A die-off of bacteria in a carefully controlled lab experiment offered an evolutionary lesson this year: Survival depends not only on fitness but also on luck.
 
			
		Holes in nets that surround nerve cells may store long-term memories, scientists proposed this year.
 
			
		In what may be a once-in-a-decade advance, a computer scientist claimed to have devised an algorithm that efficiently solves the notorious graph isomorphism problem.
 
			
		After more than a year of furiously developing and testing potential Ebola vaccines, two candidates have risen to the top and may soon be available for use.
 
			
		From an ancient sponge ancestor to the Carolina Butcher, scientists learned a lot about life on Earth this year.
 
			
		The New Horizons mission to Pluto was the No. 1 science story of the year. Here some other notable space missions.
 
			
		Don’t always believe what you hear. These truisms turned out to be false in 2015.
 
			
		This year, researchers solved the riddle of mysterious radio bursts, the Erdös discrepancy problem and an elusive acid.
 
			
		Gene editing research can move forward, but not for reproductive purposes, international summit committee says.
 
			
		Fireworks and other pyrotechnics severely reduce visibility during celebrations such as New Year’s Eve and Guy Fawkes Day, researchers report.
 
			
		Five decades later, scientists still puzzle over what causes multiple sclerosis.
 
			
		The pygmy slow loris truly hibernates, making it the first primate found outside Madagascar to do so, a new study says.
 
			
		The genomes of conifers — pine, cypress and yew trees — doubled twice in the distant past.
 
			
		Bioelectric molecules can form wires and conduct electricity in cut roses, researchers find.
 
			
		The 10th edition of International Classification of Diseases went into effect in 2015, and it included some interesting additions.
Subscribers, enter your e-mail address to access the digital replica edition.